Tautan-tautan Akses

Pengaruh Stroke Ringan Jauh Lebih Berbahaya dari yang Diperkirakan


Hippocampus, blok merah di bagian lain otak yang berperan dalam ingatan, juga bisa terganggu akibat stroke.
Hippocampus, blok merah di bagian lain otak yang berperan dalam ingatan, juga bisa terganggu akibat stroke.

Penelitian baru menunjukkan pengaruh stroke ringan jauh lebih besar daripada yang diperkirakan sebelumnya, dan bisa menyebabkan hilang ingatan pada satu dari empat orang dewasa.

Dampak stroke sangat nyata. Penderita berusaha untuk bebas dari kursi roda dan bisa berjalan lagi.

Mendadak mati rasa, badan lemas, kesulitan bicara dan memahami serta kehilangan keseimbangan adalah gejala-gejala umum serangan stroke.

Pasien stroke cukup beruntung bila bisa segera sampai ke ruang gawat darurat guna mendapat pengobatan yang tepat, dan dengan terapi fisik, berhasil memulihkan beberapa keterampilan motorik yang pernah mereka miliki.

Tetapi, ilmuwan mendapati bahwa stroke yang menyerang secara diam-diam, tanpa gejala yang jelas, sering tidak terdiagnosis atau diobati dengan cepat. Pasien melanjutkan rutinitas sehari-hari, tidak menyadari bahwa sesuatu telah terjadi di dalam otak. Kerusakan itu hanya terdeteksi bila pasien menjalani prosedur pemindaian khusus MRI.

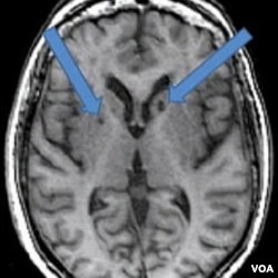
Hasil MRI atas otak pasien yang pernah terkena stroke dua kali. Panah menunjukkan adanya bintik-bintik gelap yang dulunya adalah sel-sel sehat yang mati akibat gumpalan darah yang masuk ke otak.
Hasil MRI atas otak pasien yang pernah terkena stroke dua kali. Panah menunjukkan adanya bintik-bintik gelap yang dulunya adalah sel-sel sehat yang mati akibat gumpalan darah yang masuk ke otak.

Pada hasil pemindaian pasien stroke, tampak lubang gelap berisi cairan. Psikolog syaraf Adam Brickman pada Fakultas Kedokteran Universitas Columbia, mengatakan ada bintik-bintik gelap yang dulunya adalah sel-sel sehat yang mati akibat gumpalan darah yang masuk ke otak.

Hippocampus, blok merah di bagian lain otak yang berperan dalam ingatan, juga bisa terganggu akibat stroke.

"Ketika kita tahu ingatan seseorang berkurang seiring bertambahnya usia, kita biasanya mengaitkan perubahan itu dengan perubahan fungsional atau perubahan struktural dalam hippocampus. Yang kita temukan pada stroke ringan adalah kehadiran stroke di otak juga terkait fungsi daya ingat."

Brickman dan kolega-koleganya mengamati lebih dari 650 laki-laki dan perempuan berusia 65 tahun dan lebih yang sebelumnya tidak menunjukkan tanda-tanda demensia atau hilang ingatan yang parah.

Mereka menjalani pemindaian otak MRI dan juga tes untuk mengukur kemampuan mereka menyerap informasi. Penelitian sebelumnya mendapati bahwa perubahan ukuran hippocampus dan stroke berhubungan dengan fungsi kognitif, tetapi Brickman mengatakan penelitian ini menegaskan hubungan kuat antara stroke ringan dan penurunan daya ingat.

"Penelitian kami menunjukkan, keduanya secara independen terkait dengan fungsi daya ingat, dan itu pengamatan baru," paparnya.

Hasil pemindaian MRI menunjukkan 25 persen peserta penelitian itu terkena stroke ringan. Mereka ternyata juga tidak mendapat nilai baik pada tes daya ingat. Peneliti berharap untuk terus mencermati kelompok itu dalam setahun ke depan, guna mengamati adanya tanda-tanda penyakit Alzheimer, yang merupakan bentuk paling serius dari demensia

XS
SM
MD
LG