Tautan-tautan Akses

Hari Pneumonia Sedunia: Indonesia Gencarkan Pentingnya Kenali Gejala Pneumonia Sejak Dini


FiLE - Misnar, seorang pedagang kaki lima penderita pneumonia, duduk di tempat tidurnya di Rumah Sakit Persahabatan di Jakarta, 22 September 2023. (Achmad Ibrahim/AP)
FiLE - Misnar, seorang pedagang kaki lima penderita pneumonia, duduk di tempat tidurnya di Rumah Sakit Persahabatan di Jakarta, 22 September 2023. (Achmad Ibrahim/AP)

Sejak 2009, setiap tanggal 12 November di setiap tahunnya diperingati sebagai Hari Pneumonia Sedunia. Di Indonesia, tanggal tersebut juga diperingati sebagai Hari Kesehatan Nasional. Pneumonia masih menjadi salah satupenyebab utama kematian pada bayi dan anak-anak di dunia, termasuk di Indonesia.

Tema Hari Pneumonia Sedunia tahun ini adalah "Every Breath Counts: Stop Pneumonia in Its Track" atau “Setiap Napas Itu Penting: Hentikan Pneumonia di Jalurnya”. Tema ini menyoroti kebutuhan mendesak untuk memerangi pneumonia melalui deteksi tepat waktu, pengobatan yang efektif, dan tindakan pencegahan.

Pelaksana Tugas Direktur Jenderal Pencegahan dan Pengendalian Penyakit (P2P) Kementerian Kesehatan (Kemenkes), Yudhi Pramono mengatakan pneumonia masih menjadi penyebab utama kematian pada bayi dan anak-anak di dunia. Pneumonia adalah peradangan akut pada parenkim paru (alveoli) yang disebabkan oleh mikroorganisme, termasuk bakteri patogen, virus, jamur dan parasit.

“Menurut data UNICEF tahun 2019 diperkirakan ada 2.200 anak meninggal akibat pneumonia setiap harinya. Pada tahun 2021 dari data WHO menyebutkan bahwa pneumonia menyebabkan hampir kurang lebih 740 ribu kematian pada anak di bawah usia lima tahun,” jelas Yudhi Pramono dalam kegiatan Temu Media Hari Pneumonia Sedunia, Senin (11/11) secara daring.

Hari Pneumonia Sedunia: Indonesia Gencarkan Pentingnya Kenali Gejala Pneumonia Sejak Dini
mohon tunggu

No media source currently available

0:00 0:03:00 0:00

Menurut Yudhi, pada tahun 2023 pengobatan pneumonia di Indonesia yang ditanggung oleh Badan Penyelenggara Jaminan Sosial (BPJS) Kesehatan mencapai Rp 8,7 triliun atau menempati urutan pertama disusul penyakit Tuberkulosis (TB) sebesar Rp 5,2 triliun.

Penanganan pneumonia di Indonesia difokuskan pada tiga langkah penting yaitu cegah, lindungi dan obati. “Indonesia memiliki target ambisius untuk menurunkan pneumonia tahun 2030, yaitu menurunkan angka kematian balita menjadi tiga per seribu kelahiran hidup, mengurangi insiden pneumonia berat pada balita sebesar 75 persen dibanding dengan insiden tahun 2019,” kata Yudhi.

Mengenali Gejala Pneumonia

Dokter Wahyuni Indawati, dari Ikatan Dokter Anak Indonesia (IDAI) mengungkapkan sangat penting untuk mengenali gejala pneumonia agar tidak terlambat membawa anak ke fasilitas layanan kesehatan. Gejala penyakit ini berupa demam, lemah, lesu, kurang nafsu makan dan batuk. Pada mereka yang paru-parunya sudah sangat terinfeksi, penderita biasanya mengalami ritme nafas yang lebih cepat.

“Jadi kalau kita bertemu seorang anak yang mengalami batuk yang menandakan adanya infeksi di saluran pernafasan segera perhatikan apakah anak tersebut bernafas cepat atau anak tersebut menunjukkan tanda-tanda usaha bernafas yang menunjukkan anak tersebut bernafasnya sesak,” jelas Wahyuni.

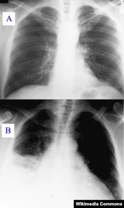
Sinar-X menunjukkan paru-paru yang bersih (A) dan paru-paru yang terinfeksi pneumonia (B)
Sinar-X menunjukkan paru-paru yang bersih (A) dan paru-paru yang terinfeksi pneumonia (B)

Ia mengatakan lebih jauh bahwa faktor risiko pneumonia pada anak usia di bawah lima tahun di antaranya adalah tidak mendapat asupan ASI yang memadai, polusi, asap rokok, malnutrisi dan berat badan lahir rendah.

Sementara itu, faktor risiko pada anak usia di atas lima tahun di antaranya adalah asma, asap rokok, polusi udara, komorbid, penyakit kronik, dan autoimun. Menurut Wahyuni, pneumonia sebetulnya bisa dicegah dengan memberi anak asupan ASI yang memadai, imunisasi, nutrisi yang dibutuhkan.

Dapat Disembuhkan

Dokter Fathiyah Isbaniah dari Kelompok Kerja Infeksi Paru, Perhimpunan Dokter Paru Indonesia, mengatakan selain pada anak-anak, pneumonia juga ditemukan pada kelompok usia di atas 55 tahun.

Berdasarkan Riset Kesehatan Dasar (Riskesdas) 2018, penderita pneumonia usia 55 hingga 64 tahun sebanyak 2,5 persen, usia 65-74 tahun sebanyak 3,0 persen, dan di atas 75 tahun sebanyak 2,9 persen. Pneumonia, katanya, dapat menyebabkan kematian bila terlambat didiagnosis. Resiko kematian lebih tinggi umumnya lebih tinggi pada anak, usia lanjut dan mereka yang memiliki komorbid atau penyakit penyerta.

“Komorbid itu yang tadi saya sebutkan ada HIV, ada diabetes melitus, gangguan ginjal, penyakit hati dan lain-lain. Oleh sebab itu pneumonia harus segera dikenali dan diberikan pengobatan,” papar Fathiyah.

Fathiyah menekankan pneumonia dapat dsembuhkan bila ditangani pada saat yang tepat melalui pemberian antibiotik. Ia menganjurkan masyarakat untuk tidak membeli antibiotik tanpa resep dokter.

“Nah ini juga menjadi masalah ya jadinya tolong masyarakat jangan menggunakan antibiotik sembarangan, jangan membeli antibiotik sembarangan karena penyakit yang dulu misalnya dulu pernah dikasih antibiotik A sekarang jadi antibiotik B,” tegas Fathiyah.

Pneumonia pada orang dewasa, menurut Fathiyah, dapat dicegah melalui perilaku hidup bersih dan sehat, serta vaksin.

Terakhir, namun tak kalah penting, kata Fathiyah, hindari rokok. Menurutnya, mereka yang merokok berisiko 2,17 kali lebih mungkin terkena pneumonia dibanding mereka yang tidak merokok. [yl/ab]

Forum

Recommended

XS
SM
MD
LG